一项硬科技,让CTA冠脉诊断方式彻底颠覆
更新时间:2018-11-09 20:28:32•点击:1020199 • 企业动态
长久占据医学图像先进处理领域最前沿
盈谷历经旷日弥久的发现、回归与专注
于实践中突破
获取了丰富的经验和积累
插上想象力的翅膀
把握创新力的精神脉搏
全球领先的@iMAGES智引擎技术横空出世
一枝独秀 迭代进化
今天
医真云及系列云平台已成为
“中国乃至全球
最大的医技业务及医技数据云统一服务平台”
也构筑起中国最大的医学AI应用场景
截止2018/11/9 20:18
累计在线诊疗量
28,780,466
月增诊疗量超200万+
开启盈谷“加速度” 屡创数字蓝海
不走寻常路的创新是盈谷的基因
今天,一项颠覆性的、难度极高的人工智能云服务
千呼万唤始出来
那就是
基于云引擎下的AI硬科技
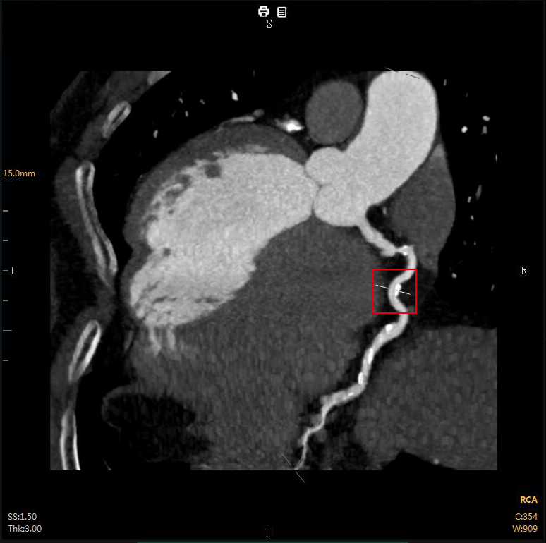
“CTA冠脉全自动诊断”
Automatic Coronary Diagnosis
冠心病、心肌梗死是危害极大的疾病
CTA冠脉动脉造影以几乎无创的方式
成为冠心病的首选检查
设备检查很快 医生诊断很累
且往往是多人协同完成一个诊断流程
效率低 极耗时
创新就是求新和改变
在医真云端
从胸痛绿色通道启动
①全自动图像重建/分割
②全自动量化测量
③全自动结构化报告
④全自动胶片及电子胶片输出
云端极速一气呵成
云端AI的CTA冠状动脉全自动诊断
重构了CTA冠脉检查的极简流程
数十倍地提升了工作效率
诊断医生从此不用加班加点
诊断质量得到AI赋能
变得更加稳定、优质
云端AI全流程服务
让场景无边界
并让冠脉造影检查
从长时间的预约检查
进化到“随到随检”
根本性释放医院的检查能力
更让患者检查更及时、更快捷
为胸痛患者
争分夺秒
ACD冠脉全自动诊断
近期将进驻医真云(公有云、混合云)、医真超云(私有云)的
“医真AI+”的开放应用市场
联合更多盈谷自研、专家自研及众多第三方AI服务
共同为医疗赋能
让Cloud AI普惠医生 普惠百姓
特别感谢各位领导、专家对ACD的关注支持
推荐阅读
-
5亿人次精准诊疗 | 智能医真云与您一起“智绘”健康未来!
2025-08-29 14:44:48•226663 次
-
上千家医疗机构同时接入DeepSeek,大模型与医真云SaaS平台融合显现优势!
2025-03-04 20:16:00•315908 次
-
智能3D电子胶片| 盈谷网络2025“破界·智变”重磅发布(1)
2025-03-03 20:48:20•375070 次
-
医真云西部数据中心荣耀开服!
2025-01-26 09:29:00•689329 次


